추운 겨울 날씨 속 혈관 질환 발병률이 높아지고 있습니다. 겨울철 주의해야 할 질병으로는 고혈압, 심근경색 등이 있답니다. 동맥경화증에 의해 병든 혈관에서 생기는 혈전이 심장이나 굶은 뇌동맥 등에서 떨어져 나와 말단부 뇌혈관을 막아 뇌훼손을 발생시킬 수 있답니다. 오늘 알아볼 질병은 뇌경색 초기증상입니다.





뇌경색이란
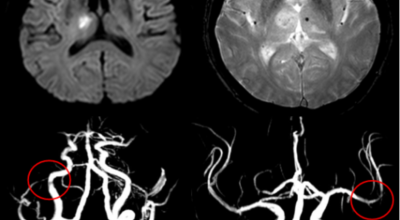
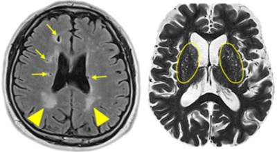
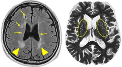
뇌 속에 혈액을 제공하는 혈관이 있는데, 이 혈관이 막히면 정상적으로 지급되어야 할 만큼의 혈액이 뇌까지 도달하지 못하여 뇌조직이 제 역할을 수행하지 못하는 것을 말해요. 이 시간이 지속될 경우 몸의 여러 곳에 지장이 생기며 이것을 뇌경색이라고 해요.
뇌경색의 주된 원인은 혈전입니다. 혈전이란 혈관 속에 피가 굳어진 덩어리를 얘기하는데 이것이 혈관을 막는 것이 뇌경색에 큰 영향을 준다고 해요. 평균적으로 많이 나타나는 연령대는 5~60대입니다. 뇌경색은 양쪽 뇌에 모두 생기는 것이 아니라 주로 한쪽 뇌에만 발생하지만, 주로 한쪽 팔다리가 마비되거나 얼굴 근육이 굳어버리기도 해요.
뇌경색이 생기는 원인은 아주 다양해요. 뇌경색은 뇌의 혈관이 막혀 뇌의 일부가 죽는 질병을 말하는데 주로 뇌경색의 원인은 혈전이며, 혈전으로 인해 뇌혈관이 막히는 위험 인자는 혈전을 발생하게 해요. 또한 동맥경화나 심장병, 혈관박리, 뇌혈관 기형 등으로 말미암아 생기게 될 수 있다고 하며 대부분이 60세 이상의 고령층에서 빈번히 나타나는 질환으로 알려져 있답니다.
특히 당뇨병이나 고혈압, 고지혈증 등을 앓고 있는 경우 함께 증상이 동반될 수 있는데요 그 중에서도 가장 큰 원인은 고혈압으로 볼수 있으므로 주로 겨울철 노인에게 잘 발생해요. 뇌경색은 뇌의 한쪽에서 발생하는 경우가 많다고 하며 한쪽 팔다리가 마비되는 것이 전형적인 증상이라고 볼 수 있어요.





뇌경색 초기증상
1. 뇌경색 초기증상 - 시력 이상
한쪽 눈이나 양쪽 눈에 뜨는 상황, 사물이 잘 보이지 않거나 양쪽 눈으로 사물이 보이는 상황을 봐야 하는데 이 때 한쪽 눈으로만 볼 수 있거나 물체의 절반만 볼 수 있어요. 접시 오른쪽에 고기가 있다고 하며 왼쪽에 생선이 있어도 접시의 한쪽 면만 보이므로 다른 음식이 있는지 모를 수 있어 주변 분들이 일반적인 때 뇌 질환이 있으신 분들이 있다면 식사를 하면서 체크하는 것도 좋아요.
2. 뇌경색 초기증상 - 피로감
초기증상의 대표적인 것은 피로감인데요 특별한 질환이나 증상이 없다가 급작스럽게 피로감이 느껴진다면 뇌경색을 의심해보아야 해요. 뇌경색이 발생하면 콜레스테롤과 노폐물이 혈관을 막고, 뇌에 공급되어야 할 피와 영양소들이 올바르게 공급되지 않기 때문에 항상 피곤하고 피로한 증상이 발생할 수 있어요.





3. 뇌경색 초기증상 - 현기증
뇌경색 초기증상은 원인 모를 현기증인데 생활에 특히나 달라진 것이 없는데 어지러움이 보존되면 병원에 가야 하며 여기서 확인해야 할 것은 일시적인 것이 아니라 보존되는 것인데, 과한 경우 혹은 지치면 일시적으로 어지러움을 느낄 수 있으므로 확인하는 것이 좋으며 마비 증상과 마찬가지로 전문의 상담을 받는 것이 좋을겁니다.
4. 뇌경색 초기증상 - 편마비
편마비란 왼쪽 및 우측만 마비가 오는 증상을 칭해요. 왼쪽 팔과 왼쪽 다리에 및 우측 팔과 우측 다리에만 저림 증상과 조금의 마비 증상이 일어날 수 있습니다. 증상이 빠르게 호전되는 경우도 있으나 편마비 증상이 길게 이어지는 경우도 있어 주의하시는 게 좋겠네요.
해당 증상이 몸 내부에 짧게 나타났든 길게 나타났든 편마비 증상이 빈번히 몸 내부에 나타난다면 바로 병원에 내원하여 빠르게 전문의와 상담하는 것을 당부 드립니다.





5. 뇌경색 초기증상 - 복시
후두엽 혈관이 막히게 되면 뇌경색 초기증상으로 시야가 결손되거나 복시 현상이 생겨나게 되어요. 단순 시력 저하가 아닌 글씨나 물체가 겹쳐 보이고 뚜렷하게 보이지 않는 증상이 나타나게됩니다. 동일한 시력 저하는 시력이 서서히 나빠지는 양상을 보이지만 뇌경색의 경우에는 갑작스럽게 시력이 저하되거나 한쪽 눈이 아예 보이지 않을 수도 있어요. 바로 막힌 혈관에 피가 쏠려 혈관이 부풀어 올라 다른 혈관이나 신경들을 누르면서 한쪽 눈이 실명되는 시력 장애가 나타나는 경우입니다.
6. 뇌경색 초기증상 - 언어장애
말을 할 때 혀가 뻣뻣하고 발음이 나쁜지 생각해 보세요. 뇌혈관에 혈액순환 장애가 생기면 이런 증상들이 생긴다고 하는데 뇌경색 전조증상의 대표라고 할 수 있답니다. 상대방과 대화를 나누거나 책을 읽을 때도 자신의 이해력이 감소하거나 발음이 이전보다 더 모호하다고 말해요. 뇌경색 같은 증상이 나타나면 먼저 3시간 이내에 전문병원을 방문해야 한다는 점을 기억하시기 바래요.





뇌경색 치료방법
뇌경색이 발생하면 얼마나 빨리 치료를 시작할 수 있는지에 따라 예후가 결정되어요. 증상이 발생하면 최대한 빨리 병원을 방문하여 초급성기 치료를 받아야 해요. 급성기 치료 후에는 원인에 따라 재발 방지를 위한 치료를 하게 되며 후유증에 대한 재활치료도 할 수 있는 한 빨리 시행하는 것이 회복에 도움을 줘요.
뇌경색 증상이 처음 나타난 후 4-5시간이 경과하지 않았다면 주사 제제를 통한 혈전용해술을 시도해 볼 수 있어요. 24시간이 경과하지 않았고 대뇌혈관이 막힌 것을 확인하였다면 막힌 혈관에 대하여 기계적 재개통술을 시도할 수 있어요.
뇌경색 후유증
뇌경색 후유증은 올바르게 걷지 못하고, 말을 잘 못하거나, 나의 의지와는 다르게 생기는 문제점들이 일어날 있답니다. 뇌경색이 오면 후유증이 남는 것이 기본이며 일주일 안으로 나타나게 될 수 있다고 하네요. 이 기간이 지나도 예후가 없다면 서서히 회복이 되는 과정에 있다고 생각하시면 되어요.
뇌경색 후유증은 3개월에서 6개월 사이에 서서히 회복 될 수 있답니다. 치료가 늦어져서 뇌경색 후유증이 심각하게 자리잡게 된다면 일상생활이 어려울 정도로 육체에 이상이 있는 상태가 유지될 수 있답니다.





뇌경색 예방법
뇌경색의 위험요인의 관리가 가장 중요해요. 고혈압, 당뇨, 심장질환, 고지혈증, 비만, 수면무호흡증, 운동부족, 과음등으로부터 우리 몸을 관리하는 것에 힘쓰는 것이 뇌경색 예방에 필수적입니다. 이런 위험인자를 지니고 있는 사람은 그렇지 않은 사람에 견주어 뇌졸중의 발생이 크게 올라간다고 해요. 혈압관리, 당뇨관리, 동물성 지방이나 콜레스테롤을 줄인 건전한 식단, 금연과 절주, 지속적인 운동을 하시는 것이 좋습니다.
식사습관 : 물, 양파, 마늘, 우엉, 버섯, 부추, 미네랄,연근 등 갖가지 비타민이 아주 많은 채소가 혈관을 맑게 해주는데 좋습니다.
식물성 단백질 섭취 : 미역, 김, 오메가-3, 다시마, 해조류 등이 혈류 개선에 좋답니다.
운동습관 : 웨이트 트레이닝과 유산소 운동은 혈류가 빠르게 순환할 수 있도록 도와주며 혈관 활성에 좋답니다.
금연 및 금주 : 흡연과 음주는 혈관을 수축시키고 뇌에 혈액을 올바르게 공급하기 어렵기 만들기 때문에 꼭 끊으시는것이 좋습니다.





뇌경색 초기증상과 후유증에 관해 전해드렸습니다. 참고하셔서 더 좋은 삶을 위해 힘써보시기 바랍니다. 더 좋은 아래 글도 읽어보시기를 추천드립니다.
뱃살 빼는 최고의 방법 추천
요즘 돌아다니기도 힘들고 집에만 있는 시간이 많다보니 늘어나는건 뱃살뿐이죠. 보통과 다르게 집에서 배달음식만 시켜먹고 누워있다보니 뱃살만 팍팍 늘어나게됩니다. 비만은 모든 병의 근
berjui.vinachillan.com
마늘 효능 12가지, 마늘 복용하면 안되는 사람
마늘은 많은 요리에 사용되는 재료입니다. 삼겹살을 먹거나 찌개를 할때도 마늘은 필수로 필요한데요. 마늘은 다양한 성분을 함유하고 있어 건강에 많은 이점을 제공해요. 마늘의 여러가지 효
berjui.vinachillan.com