3대 암에 들어갈만큼 가파르게 늘어가고 있지만 폐암은 다른 암에 대조해서 원인이 잘 불리는 편이예요. 원인을 잘 안다는 것은 그것을 피하고 일반적인 때에 신경쓰는 만큼 안걸릴 확률은 높아지는 것이겠죠. 그리고 초기증상이 어떤지를 알아두는 것도 중요해요. 오늘은 폐암 초기증상에 대해 알아보도록 하겠습니다.






폐암이란
폐암은 폐에 생긴 악성 종양입니다. 폐 자체에 나타나는 원발성 폐암과 다른 장기에서 전이되어 온 전이성 폐암이 있습니다. 전 세계적으로 해마다 130만 명이나 되는 사람들이 폐암으로 사망하는데 이는 암에 의하여 사망하는 것 중에 가장 높은 비중을 차지하고 있습니다.
폐암의 원인
1. 흡연
폐암의 주요 발병 원인은 흡연입니다. 담배는 많은 유해물질과 암 유발 성분으로 이루어져 있는데, 흡연자는 비흡연자에 견주어 폐암의 위험이 15~80배까지 늘어나게 되어요. 이는 흡연양이 많을수록, 어린 나이에 흡연을 시작할수록, 흡연기간이 길 수록 위험도가 높아지게 됩니다.
2. 미세먼지
미세먼지는 WHO 세계 보건기구에서 정한 1급 암 유발 성분입니다. 미세먼지 안에는 많은 암 유발 성분이 함유되어 있다고 하며 미세먼지가 높은 지역에서는 폐암 발생 위험도 높다고 보고되고 있습니다.






3. 중금속 노출
중금속 노출도 석면과 마찬가지로 직업상 노출되는 경우가 많습니다. 알루미늄 생산이나 주물업 등 특정 직업에 종사하는 경우 폐암 위험도가 높아집니다.
4. 석면 노출
석면은 대체로 직업상 노출로 이루어져 있는데 석면은 예전 건축물에서 많이 찾아볼 수 있으나 요즘은 암 유발 성분으로 알려져 다룰 때 주의를 요하는 성분입니다. 설치나 철거 시 석면가루가 날리게 되는데 이 석면에 연속적으로 노출될 시 오랜 시간(10~35년)의 잠복기를 거친 후 폐암이 생기다고 알려져 있습니다.
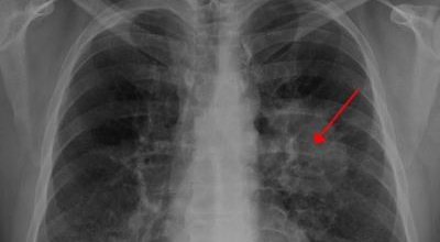
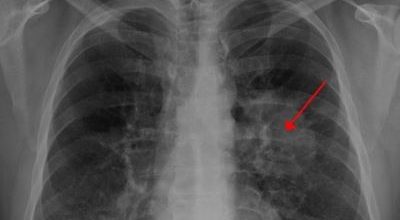
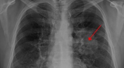
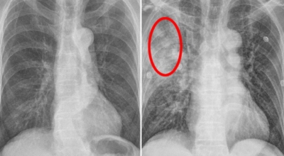
폐암 초기증상
1. 폐암 초기증상 - 체중감소
폐암을 의심할 수 있는 폐암 초기 증상은 다른 암과 마찬가지로 입맛이 떨어지고 전신 위약감이 발생되는 증상입니다. 체중이 갑작스럽게 감소할수도 있어요. 그러므로 최근에 식사량을 줄인다던가 식단 관리를 하지 않았는데도 평상시 체중의 5% 이상의 체중 감소가 있다면 검진을 해보는 것이 좋습니다.
정상세포보다 성장 속도가 빠른 암세포는 많은 에 너지를 필요로 하기 때문에 암세포의 성장에 따라 체중감소가 나타날 수 있어요. 특별한 원인 없이 6개월 내에 10kg 이상 체중이 줄거나 체중의 10% 이상이 감소했다면 폐암 초기증상이라고 볼 수 있답니다.






2. 폐암 초기증상 - 기침
기침은 폐암 초기 증상 중 가장 일반적으로 나타나게됩니다. 폐암 환자의 75% 정도가 잦은 기침을 호소하는데 감기로 인한 것과 비교가 어려워 그냥 넘기는 경우가 풍부하므로 조심하는 것이 좋습니다. 그러니 기침이 긴 시간 계속되는 경우 반드시 진찰을 받아보시기 바랄게요.
3. 폐암 초기증상 - 쉰 목소리
성대 조절 신경이 폐와 기관 사이에 공간을 지나게 되는데 암이 진행되어 이 신경을 침범해서 성대 마비 증상이 오거나 목소리가 쉬기도 해요.
4. 폐암 초기증상 - 가슴 통증
폐암 초기증상으로는 가슴통증이 있습니다. 폐암 환자들의 약 1/3 환자들이 흉통을 호소해요. 흉통이 발생하는 이유로는 폐의 가장자리 부분에 종양이 생기고 그 종양이 암세포를 생성하면서 흉벽과 흉막에 안착해서 통증을 일으키기 때문입니다.
흉통의 경우 여러가지 종류의 이유가 있을 수 있지만 우리가 오늘 다루는 폐암으로 기인해서 생기는 흉통은 계속적으로 쿡쿡 찌르는 느낌의 통증과 가벼운 통증이 아닌 둔탁한 통증을 동반하므로 유의하시길 바랄게요.






5. 폐암 초기증상 - 호흡곤란
폐암 초기증상엔 호흡곤란이 나타나게됩니다. 폐암 환자의 약 50% 정도가 숨이 차다고 느끼게 될 수 있다고 하네요. 이는 암 덩어리가 커져 호흡이 가쁘다고 느낄 가능성도 있지만 폐암으로 인한 폐허탈, 상기도폐색, 흉막 삼출 등등이 호흡곤란을 유발하기도 해요. 평상시와 다르게 숨이 차는 느낌이 들면서 숨을 들이쉬고 내쉴때 쌕쌕 거리는 소리나 나온다면 폐암 초기증상을 의심해 볼 수 있습니다.
6. 폐암 초기증상 - 혈담
두번째 폐암 초기증상으로 혈담이 있는데 혈담은 쉽게 말해 가래에 피가 섞여나오는 경우입니다. 폐암이 폐 중앙부 기관지 부분과 근접해 있으면 나타나게 되는 혈담은 폐암환자의 25%이상이 경험하는 증상이므로 만에 하나라도 기침을 할 때 심한가래나 혈담이 섞여 나온다면 즉시 병원에 방문하시기 바래요.






폐암에 좋은 음식
1. 폐암에 좋은 식품 - 해조류
해조류는 폐암을 미리 막을 뿐 아니라 폐암에 도움을 줄 수 있는 가장 가장 저명한 식품입니다. 미역과 다시마 등의 해조류에는 폐암에도 좋지만 그뿐 아니라 우리의 인체 곳곳에서 나타날 수 있는 여러 암세포를 예방해주는 역할을 하는 후코이다 물질이 많은 양 함유되어 있죠. 그리고 암세포가 만에 하나라도 이미 생성되어있다고 하더라도 해당 종양이 전이되는 것을 방지하고 예방하는 역할도 해요.
2. 폐암에 좋은 식품 - 율무
율무는 폐 기능을 활성화 시켜주며, 흡연으로 인해서 발생되는 가래를 멈추게 해 주고 니코틴 해독 효과가 있는 폐와 폐암에 좋은 음식이예요.
3. 폐암에 좋은 식품 - 단백질
수술 부위를 아물게 하는데에 도움이 되며 수술 중 잃은 혈액 성분을 보충해서 체력을 빨리 재생시켜주고 빈혈을 방지합니다. 가장 저명한 쇠고기, 닭고기, 생선, 계란, 두부 등이 있고 매 끼니마다 2~3가지씩은 상에 올리는 게 좋아요. 우유, 요구르트, 치즈 등도 도움이 돼요.






4. 폐암에 좋은 식품 - 생강
생강은 니코틴 해독 효과가 있으며 기관지에 쌓여있는 가래를 제거해 주는 효과와 폐 세포의 재생을 향상시켜주는 폐와 폐암에 좋은 음식입니다. 또 생각에 함유되어있는 쇼가올이라 하는 물질은 의 확산을 막는 효과가 있다고 하며 쥐를 통한 실험에서 폐암 전이 위험 감소 효과가 나타났다고 해요.
5. 폐암에 좋은 식품 - 브로콜리
브로콜리의 녹색색소인 클로로필은 혈전과 동맥경화예방, 혈액순환이 잘 되게 도와주며 항암작용 효과가 굉장한 폐암에 좋은 음식입니다.
6. 폐암에 좋은 식품 - 당근
당근에 함유되어있는 매우 많은 베타카로틴 물질이 점막을 보호해주고 비타민이 풍성하게 들어있어서 항산화 작용 효과를 얻을 수 있기 때문이죠. 당근은 클로로겐산이라 하는 식물성 화학물질의 공급원이지요, 이 클로로겐산은 종양이 자라기 위해 필요한 혈액 공급을 막는 역할을 하기 때문에 폐암 진행을 억제하는 효과를 볼 수 있어요.
7. 폐암에 좋은 식품 - 토마토
토마토의 붉은색을 나타내는 라이코펜 물질은 항암작용 효과적이고, 각가지 대기오염으로부터 폐를 보살피는 폐 기능 향상에 도움되는 폐와 폐암에 좋은 음식입니다. 토마토에는 암 위험을 저하시키고 암에 대응하는 엄청난 화합물인 리코펜이 매우 많은데요 종양의 성장을 억제시키고 폐암 세포가 분열하는 것을 방해하는 역할을 한다고 해요. 리코펜이 많이 들어간 식품을 먹은 이들에게 실험한 결과 폐암 발병률이 낮았다고 해요.
8. 폐암에 좋은 식품 - 비트
비트라는 식물은 폐 기능을 탁월한 상태로 만들게끔 돕는 화합물이 포함되어 있어요. 비트는 질산염이 많이 함유되어 있어 폐 기능에 도움을 주고 이 질산염은 혈관을 깨끗하게 해주며 피가 잘 돌게끔 돕고 또한 혈압을 낮춰주고 산소 흡수를 순조롭게 하는 것을 도와줘요.
미국 연구소에서는 비트 뿌리로 만든 보충제를 폐암을 앓고 있는 환자들에게 복용하게 했더니 환자들의 전체적인 인체 기능과 폐 기능이 증진한 것으로 나타났습니다.
9. 폐암에 좋은 식품 - 복숭아
복숭아는 몸 내부에 있는 니코틴을 분해하고, 훼손된 폐조직을 부활시켜주어 폐와 폐암에 좋은 음식입니다.
10. 폐암에 좋은 식품 - 생강
생강도 폐암에 좋은 식품입니다. 이유는 항암 부작용인 토악질과 토악질 증세에 큰 도움이 되며 구역질 증상을 나아지게 하고 몸속에 해독작용을 해서 면역력을 향상시키는 또한 기관지 질환에도 좋은 효능을 보입니다.
여기서 생강에 함유되어있는 진저롤이라고 부르는 물질이 암 증식 세포를 억제시켜주고 폐 세포가 재생할 수 있도록 도움을 주기 때문에 폐암의 예방과 증상을 완화시키는데 좋습니다.
폐암 초기증상에 대하여 전해드렸어요. 저의 포스팅 내용이 도움이 되셨으면 좋겠네요. 항상 건강하고 즐거운 하루 되시기 바랄게요.
갱년기 증상 30가지 & 갱년기에 좋은 식품
오늘은 갱년기 증상 30가지 총정리에 대해 알려드릴게요. 50대 중반부터 발병하는 게 보통이지만 사람마다 차이가 있다고 하며 40대 중반부터 갱년기증상 30가지 등이 생길 수 있답니다. 갱년기는
berjui.vinachillan.com
내장지방 빼는법 13가지 체크리스트
오늘은 내장지방 빼는법에 대하여 알려드릴게요. 비만율이 빠르게 늘어나고 있는 대한민국의 추세입니다. 체중 감량 관심을 갖고 계신이들에게는 내장지방이란 정말 빼기 힘든데요 어떤 방법
berjui.vinachillan.com
비트 효능 및 먹는 방법 추천
이번 포스팅은 비트 효능 먹는 방법에 대하여 알아보시죠. 반드시 알아두셔야 할 중요시되는 내용이니 차근차근 읽어보세요. 비트란? 일명 ‘빨간 무'라고도 불리는 비트는 열량이 100g당 37kcal밖
berjui.vinachillan.com